Vorhofflimmern ist die häufigste Herzrhythmusstörung im Erwachsenenalter. Das Risiko, von Vorhofflimmern betroffen zu werden, steigt mit dem Alter. Bei Menschen unter 50 Jahren liegt die Häufigkeit bei deutlich unter 1 %, bei den über 60-Jährigen liegt sie bei 4-6 % und bei den über 80-Jährigen bei 9-16 %.
Vorhofflimmern führt oft zu Herzstolpern und Herzrasen, verbunden mit innerer Unruhe, Angstgefühlen, Abgeschlagenheit, einer Neigung zu Schweißausbrüchen, Atemnot, Brustschmerz, Schwindel und einer Einschränkung der körperlichen Leistungsfähigkeit.
Bei Vorhofflimmern kreisen in den Herzvorhöfen elektrische Erregungswellen, die zu einer Vorhoffrequenz von bis zu 350 Schlägen pro Minute führen. Dann können die Vorhöfe sich nicht mehr zusammenziehen; sie flimmern nur noch. An der Pumpleistung des Herzens können sie nicht mehr teilnehmen. Damit können bis zu 20 % der Herzleistung entfallen.
Störende elektrische Impulse, die Vorhofflimmern hervorrufen können, kommen meist aus dem Bereich, in dem die Lungenvenen in die Hinterwand des linken Vorhofs münden. Eine wichtige Rolle für die Entstehung dieser Herzrhythmusstörung spielt die Beschaffenheit des Herzmuskelgewebes. Narben und Entzündungen verändern dessen Struktur und bereiten dadurch die Grundlage für die Entstehung von Vorhofflimmern. Allerdings finden sich bei etwa 10 % der Patienten keine Erkrankungen, die das Vorhofflimmern erklären können (idiopathisches Vorhofflimmern).
Neben der pharmakologischen Behandlung des Vorhofflimmerns gewinnt die Verödungsbehandlung (Katheterablation) infolge ihrer höheren Effektivität in der Unterdrückung des Vorhofflimmerns immer mehr an Bedeutung.
Die Katheterablation hat zum Ziel, durch das gezielte Setzen von Verödungszonen Barrieren aufzubauen, um das Auftreten und die Aufrechterhaltung von Vorhofflimmern zu verhindern. Diese Barrieren werden in der linken Herzvorkammer in aller Regel um die Lungenvenen (Pulmonalvenen) gezogen, um die Störfeuer aus diesen Venen zu blockieren. Bei langanhaltendem Vorhofflimmern (persistierendes Vorhofflimmern) können bei Bedarf zusätzliche punktuelle bzw. lineare Verödungszonen mit der Ablation („Substratmodifikation“) geschaffen werden, um das Vorhofflimmern nachhaltig zu beeinflussen.
Im Bedarfsfall werden bevorzugt im linken Vorhof punktuell-flächenhafte bzw. lineare Verödungszonen mit der Ablation („Substratmodifikation“) geschaffen, um das Vorhofflimmern nachhaltig zu beeinflussen.
Aufgrund der großen Erfahrung von mehr als 15 Jahren und ständiger technologischer Weiterentwicklung kann die Katheterablation in erfahrener Hand heutzutage als modernes Routineverfahren eingestuft werden.
Die größte Erfahrung gibt es heute mit der Hochfrequenzstrom-Ablation von Vorhofflimmern. Über einen Elektrodenkatheter werden mit Hilfe von Hochfrequenzstrom im linken Vorhof punktförmige Verödungszonen so gesetzt, dass sich zusammenhängende Linien bilden, die zum Beispiel die Pulmonalvenen umschließen und komplett isolieren.
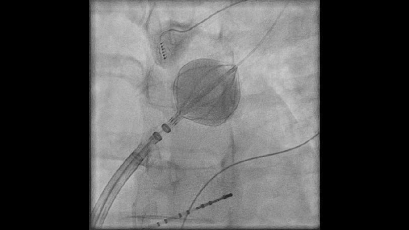
Die Katheterablation erfordert einen Krankenhausaufenthalt von 4 Tagen unter Einschluss des Aufnahmetages. Vor der Durchführung der Katheterablation wird das Herz mit Hilfe des Ultraschalls (Echokardiographie) sowohl durch den Brustkorb als auch über die Speiseröhre (transösophageale Echokardiographie) untersucht. Zur Durchführung der Ultraschalluntersuchung über die Speiseröhre muss ein dünner Ultraschallschlauch geschluckt werden. Da die Untersuchung etwas unangenehm ist, wird der Patient in einen kurzen Schlafzustand versetzt. Sie ist notwendig, um mögliche Veränderungen des Herzens beurteilen zu können und um Blutgerinnsel (Thromben), die sich bei Patienten mit Vorhofflimmern im Herzen bilden können, zu erkennen.
In einigen Behandlungszentren wird vor der Ablationsbehandlung eine Schichtaufnahme vom Herzen (Computertomographie oder Magnetresonanztomographie) durchgeführt. In unserem Hause wird regelhaft unmittelbar vor der Katheterablation eine Rotations-angiographische Bildgebung im Herzkatheterlabor vorgenommen.
Diese dreidimensionale Rekonstruktion ermöglicht eine exakte anatomische Aufarbeitung des linken Vorhofs. Eine detaillierte räumliche Darstellung der Lungenvenen in ihrer exakten Lagebeziehung zum linken Vorhof ist eine wesentliche Voraussetzung für eine erfolgreiche Katheterablation bei Vorhofflimmern.
Der Eingriff der Katheterablation dauert insgesamt etwa 2-3 Std. Um den Patienten so schonend wie möglich zu behandeln, werden Medikamente eingesetzt, die ihn in einen Dämmer- oder Schlafzustand versetzen.
Anschließend werden von der rechten Leiste aus mehrere millimeterdünne Kunststoffschläuche (Elektrodenkatheter) zum Herzen vorgeschoben und nach Punktion der Vorhofscheidewand (transseptale Punktion) in den linken Vorhof platziert. Mit diesen Kathetern kann der Kardiologe die elektrischen Ströme, die durch das Herz fließen, aufzeichnen und beurteilen. Die eigentliche Behandlung erfolgt dann mit dem Ablationskatheter, dessen Spitzenelektrode mittels Hochfrequenzstrom auf eine Temperatur von 60-70 Grad Celsius erwärmt wird. Dies ermöglicht eine Punkt für Punkt-Verödung von Herzmuskelzellen, sodass eine Isolationslinie entsteht, die die Ausbreitung von störenden elektrischen Impulsen unterbricht und dadurch das Vorhofflimmern verhindert. Mit Hilfe modernster Technologien, die ohne röntgenologische Kontrolle eine exakte dreidimensionale Positionsbestimmung der Elektrodenkatheter ermöglichen, können die einzelnen Verödungsimpulse exakt gesetzt werden.
Neueste Katheter-Techniken erlauben die Bestimmung des Anpressdruckes der Elektrode an der Vorhofwand. Dies erlaubt eine effektive und sichere Abgabe der Energie zur Verödung. Dieser Teil der Ablationsbehandlung dauert etwa 1-1,5 Stunden. Der Arzt kann dabei durch die Änderung der elektrischen Potenziale des Herzens erkennen, wie wirksam die Isolation der Lungenvenen ist. Das Behandlungsziel ist erreicht, wenn alle vier Pulmonalvenen isoliert, das heisst elektrisch komplett vom linken Vorhof getrennnt sind. Falls nach einer 30-minütigen Wartephase die Lungenvenen stabil elektrisch isoliert bleiben, werden die Katheter aus dem Herzen zurückgezogen und der Patient wird noch im Katheterlabor allmählich wach. Die weitere Behandlung erfolgt dann wieder auf der Normalstation, wobei der Patient bis zum nächsten Morgen Bettruhe zur Vermeidung von lokalen Nachblutungen in der Leiste einhalten sollte.
Mit der Katheterablation lassen sich bei Patienten mit anfallsweisem oder kurzfristig-anhaltendem Vorhofflimmern nach einem einmaligen Eingriff Erfolgsraten von immerhin bis zu 70 % erreichen. Bei Patienten mit längerfristig anhaltendem Vorhofflimmern sind die Erfolgsraten geringer, da die durch das Vorhofflimmern bedingten Umbauprozesse (Fibrose), die das Vorhofflimmern unterhalten, ausgeprägter sind.
Bei Patienten, bei denen durch den ersten Eingriff keine ausreichende und dauerhafte Unterdrückung des Vorhofflimmerns erreichbar ist, wird in der Regel ein zweiter Eingriff, in selteneren Fällen auch ein dritter Eingriff erforderlich. Damit lässt sich die Erfolgsrate der Behandlungsmethode deutlich auf bis 80-85 % steigern. Es gibt eindeutige Hinweise darauf, dass sich mit den neuesten Ablationskathetern mit Messung des Anpressdruckes, die bei uns routinemässig eingesetzt werden, die Rezidivraten deutlich reduzieren lassen.
Eine erneute Ablation ist jedoch meist ein deutlich kürzerer Eingriff als die erste Ablation, da hier in aller Regel lediglich die aufgetretenen Lücken in den Ablationslinien um die Pulmonalvenen aufgesucht und geschlossen werden müssen.
Der Behandlungserfolg stellt sich bei einem Teil der Patienten bereits unmittelbar nach der Katheterablation ein. Bei einem anderen Teil der Patienten kommt es insbesondere innerhalb der ersten Wochen nach der Behandlung noch zu Anfällen von Vorhofflimmern. Oft gehen die Anfälle von Vorhofflimmern zurück, und es kann im Verlauf von Wochen doch noch eine vollständige Unterdrückung der Herzrhythmusstörung erreicht werden. Das bedeutet, dass sich das Endergebnis der Behandlung erst nach etwa drei Monaten abschätzen lässt.
Innerhalb der ersten 2 Monate nach der Ablation wird eine Gerinnungshemmung mit Marcumar bzw. den neuen Gerinnungshemmern dringend angeraten, da es andernfalls zur Gerinnselbildung entlang der Verödungslinien kommen kann. Bei Patienten mit einem deutlich erhöhten Schlaganfallrisiko sollte die Gerinnungshemmung auch nach einer erfolgreichen Ablation besser beibehalten werden.